Plevral Hastalıklar

Bilgi Formu

PLEVRAL HASTALIKLARI 

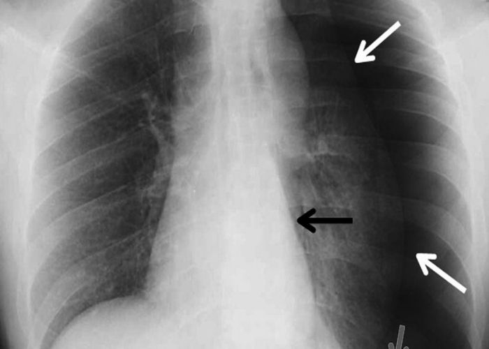
PLEVRAL EFFÜZYON 

Akciğer zarı (plevra) akciğer ve göğüs duvarını örten iki adet zardan oluşmaktadır. Normalde bu iki zar arasında bir miktar sıvı bulunur ve emilim devam ettiği için birikim olmaz. Bu iki zar arasında akciğer kaynaklı ve akciğer dışı hastalıklarda metabolizmanın değişimi ile sıvı birikimi olur. Biriken bu sıvıya Plevral Effüzyon denir.

Plevral Effüzyon Nedenleri?

Enfeksiyonlar: Bakteriyel pnömoni ve tüberküloz gibi enfeksiyonlar
Kanser: Akciğer kanseri ve diğer organ kanserleri
Kalp Yetmezliği: Kronik kalp yetmezliği
Karaciğer ve Böbrek Hastalıkları: Karaciğer sirozu veya nefrotik sendrom gibi durumlar
Pulmoner Emboli: Akciğer damarlarındaki pıhtılar, plevral effüzyona yol açabilir. 


Plevral Effüzyon Beliritileri Nelerdir?

Nefes darlığı, çabuk yorulma , efor kapasitesinde azalma ve göğüste künt bir ağrı meydana gelebilir.

Plevral Sıvı Tanısı nasıl Konulur?

Fizik muayeneyi takiben Akciğer grafisi, Akciğer Tomografisi ile değerlendirilir. Torasentez(plevral sıvı örneklemesi), Bronkoskopi, VATS(Tek porttan) ve RATS ( ROBOTİK ) hem tanı hem tedavisi için uygulanan yöntemlerdir.

Mligniteye bağlı plevral effüzyon tekrar edebilir. Bu yüzden tedavi amacıyla VATS veya RATS yöntemiyle plevral yaprağı soyulma (Plörektomi ) ve plevra yaprakları yapıştırma işlemi (Plörodezis) yapılır.

AMPİYEM

Plevral yaprakları arasında sıvı birikmesi ve sıvının enfekte olması , koyulaşması ve kötü kokulu hal almasına Ampiyem denir.  Ampiyem enfeksiyonlara sekonder olabileceği gibi göğüs travması sonra ve göğüs içi yabancı cisim sonrasında da gelişebilir.

Ampiyem tanısı konulur konulmaz erken müdahale yapılıp tedaviye hemen başlanmalıdır. Son yapılan çalışmalar doğrultusunda ilk olarak VATS veya RATS önerilir (Dekortikasyon )ve toraks tüpü yerleştirilip, antibiyotik tedavisi başlanıp hasta takibe alınmalıdır. 

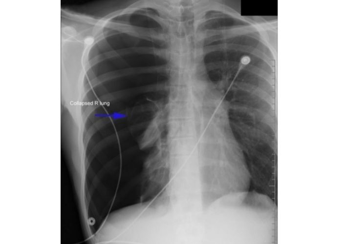
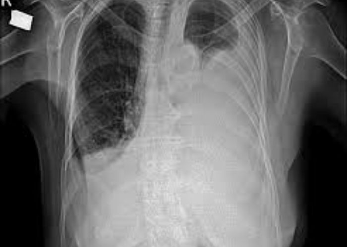
PNÖMOTORAKS

Pnömotoraks Nedir?

Göğüs boşluğu içinde akciğer zarları arasında hava toplanması ve akciğerin sönmesidir.Hastalarda ani başlayan nefes darlığı ve göğüs ağrısı ,çarpıntı, öksürük ve nadiren dudaklarda morarma olabilir.

Pnömotoraks Nasıl oluşur?

Spontan Pnömotoraks

Akciğerin üst kısmında doğuştan ya da sonradan oluşan Bleplerin kendiliğinden patlaması sonucu oluşur. Hastalar genellikle erkek, uzun boylu ve zayıftırlar. En sık görülen pnömotoraks tipidir.

Sekonder Pnömotoraks

Altta yatan amfizem, pnömoni, kaviter lezyonlar gibi akciğer dokusunda oluşan zarar sonucunda gelişen pnömotoraks tipidir.

İatrojenik Pnömotoraks

Tıbbi müdahale sonucu meydana gelen pnömotoraks tipidir.

Pnömotoraks Tanısı Nasıl Konulur?

Öncelikle hızlı tanı konması hayati tehlike taşıdığından önem arz eder. Hastanın semptomları, fizik muayene bulguları ve radyolojik görüntüsü ile tanı konulur. Şüphe duyulduğunda BT çekilebilir.

Pnömotoraks Tedavisi Nedir?

Hafif pnömotoraks varlığında kişiye oksijen tedavisi verilip hasta takibe alınır.

Serbest hava miktarı fazla ise ya da hava miktarı az olmasına rağmen klinik olarak aşırı ağrı ve nefes darlığı varlığında ameliyathane şartlarında göğüs kafesine girilerek akciğer zarları arasına katater yerleştirilir ve  hava boşaltılır.( Toraks tüpü ) Hasta yaklaşık 2-3 gün hastanede yatarak tedavi edilir.

İlk ataktan sonra %25 oranında tekrar edebilir. Tekrarlayan pnömotoraksta hastaya VATS veya RATS ile operasyon önerilir. Bazı özel durumlarda da ilk atakta hastalara nüksleri önlemek amacıyla operasyon önerilir. (hava yolu çalışanları , şehir merkezineden uzakta yaşayanlar vb.)

MEZOTELYOMA

Akciğer dokusunu saran Visseral Plevra (iç zar) , göğüs kafesini saran Parietel Plevra ( dış zar) Plevral Zarın yapraklarını oluşturur. Bu zarın nadir görülen kanserine Mezotelyoma denir.

Mezotelyoma Neden oluşur?

Genellikle Asbest maruziyeti sonucu oluşur. Ülkemizde ak toprak olarak bilinen beyaz tozların solunması ile birlikte ortaya çıkabilir. Türkiye de son yıllarda yılda en az 500 kişide görülmektedir. Asbest maruziyeti sonrası 20-50 yıl sonra bile Malign Mezotelyoma oluşabilir.

Mezotelyoma Belirtileri Nelerdir?

Göğüs ağrısı, nefes darlığı, yorgunluk, halsizlik, kansızlık, öksürük, kanlı balgam (hemoptizi)görülebilir.

Mezotelyoma Tanısı Nasıl Konulur?

Hastaların asbest maruziyeti mutlaka sorgulanmalıdır.
Akciğer Grafisi
Toraks BT de mezotelyomaya bağlı sıvı, nodüller veya kalınlaşmanın tespit edilmesi tanı için yeterli değildir ve mutlaka Plevradan biyopsi alınmalıdır.
Biyopsi: VATS (TEK PORT) denilen kapalı ve tek bir kesiden akciğer zarıgörüntülenip şüpheli lezyonlardan parça alınıp patolojik incele sonrası tanısı konabilir.
PET-CT ve üst batın MR , Mezotelyoma evrelemesinde kullanılır.

Mezotelyoma Tedavisi Nedir? 

Mezotelyoma tedavisi, multidisipliner bir yaklaşımdır. Hastanın genel sağlık durumu, efor kapasitesi, tümörün evresi ve yayılımı dikkate alınarak belirlenir. Erken evrede teşhis edilen vakalarda açık(Torokotomi) veya kapalı ameliyat (VATS ile tek kesiden) tümör çıkarılabilir.  İleri evre vakalarında  torakotomi ile radikal plörektomi+dekortikasyon ameliyatı (akciğer dokusunu almadan plevral zarın (iç ve dış zar) soyulması ya da Plöropnömonektomi ( akciğer dokusu ile tüm zarların çıkarılması) operasyonları yapılabilir.