Akciğer Kistleri

Bilgi Formu

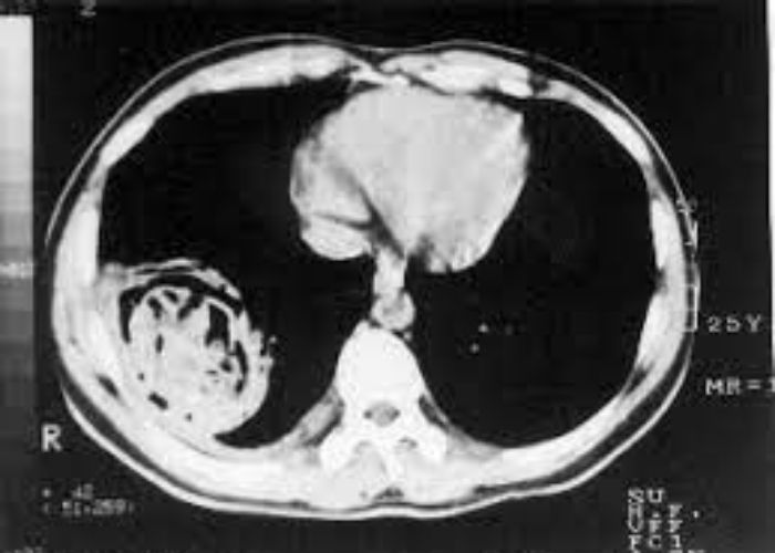
Hidyatik kist nedir ?

Echinococcus granulosus paraziti tarafından oluşturulan Hidyatik kist olarak bilinen, akciğer ve karaciğerde birçok kistten oluşan bir hastalıktır. Akciğerde 1-2 cm tek bir kistten 10-15 cm e ulaşan çok sayıda kiste kadar değişiklik gösterebilir.

Nasıl Bulaşır?

Akciğer kistine neden olan bu parazit köpek gibi etçil hayvanların dışkıları ile temasta olan meyve sebzelerin iyi yıkanmaması durumunda veya bu hayvanların etlerinin tüketilmesi ile bulaşır.

Tanısı Nasıl Konur?

Bilgisayarlı Tomografi ( BT ) ile tanı konulur. Aynı zamanda serolojik olarak kanda ekinokokal antikorlar saptanabilir.

Tedavisi Nedir?

Kesin tedavisi operasyon ile kistin çıkartılmasıdır.  Kistin büyüklüğüne ve akciğer dokusundaki konumuna göre Açık(Torokotomi) veya VATS (Tek porttan) veya RATS (Robotik Cerrahi) ile yapılabilir. Operasyon , kistin zarı ile kisti patlatmadan ve akciğer dokusuna zarar vermeden tamamlanmalıdır. Operasyon öncesi ve sonrası medikal tedavi (albendazol ) kistin tekrar etmemesi ve hastanın korunması için önerilebilir.

Bronkojenik Kist

Bronkojenik kist nedir ?

Bronkojenik kistler genellikle mediastende, akciğer parankimi içinde ve nadiren de diafragmaaltı gibi değişik loka-lizasyonlarda bulunan doğumsal iyi huylu kistik oluşumlardır. Her yaş grubunda görülmekle birlikte semptomatik olanlar yenidoğan döneminden itibaren tanınabilirler.  

Tanısı nasıl konulur?

Semptomatik olanlar yenidoğan döneminden itibaren tanınabilirler. Asemptomatik olanlar ise ileri yaşlarda tesadüfen çekilen akciğer grafilerinde ya da başka bir amaç ile çekilen toraks BT tetkikinde tesadüfen saptanırlar. 

Tedavisi nasıl yapılır?

Tedavide temel yaklaşım cerrahi rezeksiyondur. Kistin büyüklüğüne ve lokasyonuna göre Açık(Torokotomi) veya VATS (Tek porttan) veya RATS (Robotik Cerrahi) ile yapılabilir. Mediastinal bronkojenik kistler için basit komplet eksizyon, akciğer parankim içindeki bronkojenik kistler için ise wedge ya da anatomik rezeksiyon ideal tedavidir. Bronkojenikkistler asemptomatik olsalar bile tanının doğrulanabilmesi, ileride oluşabilecek semptomların ve komplikasyonların önlenebilmesi amacıyla mutlaka cerrahi olarak çıkarılmalıdırlar.